If you’ve had a PAO, you probably know the experience of being asked:
“What happened—did you get your hip replaced?”
But what actually IS the difference between a PAO and a hip replacement?
Let’s compare.
Hip Replacement

What is a hip replacement?
According to the Mayo Clinic, a hip replacement is surgery to remove damaged sections of the hip joint and replace them with artificial parts.
In simple terms: part of your femur and hip joint is removed and replaced with a prosthetic joint.
Why would someone need a hip replacement?
Hip replacements are typically performed when the joint is severely damaged—most commonly from arthritis.
Other causes can include hip dysplasia, osteonecrosis, or rheumatoid arthritis.
By the time someone is considering a hip replacement, pain is usually affecting everyday life—walking, sitting, and even sleeping. Most non-surgical options (physical therapy, injections, etc.) have already been tried.
What is Recovery Like?
Hip replacement surgery is often outpatient or requires a short hospital stay.
- Walking begins the same day (with assistance)
- Weeks 1–4: stiffness, swelling, soreness
- Weeks 2–4: more independent walking + physical therapy
- Weeks 6–12: return to driving and light activity
- Full recovery: ~6–12 months
Even after recovery, there are typically lifetime precautions, such as:
- Being cautious with heavy lifting
- Avoiding high-impact activities (running, skiing) though recently more doctors are open to running after a replacement.
- Not bending past 90° (deep squats)
Periacetabular Osteotomy (aka PAO)

What is a PAO?
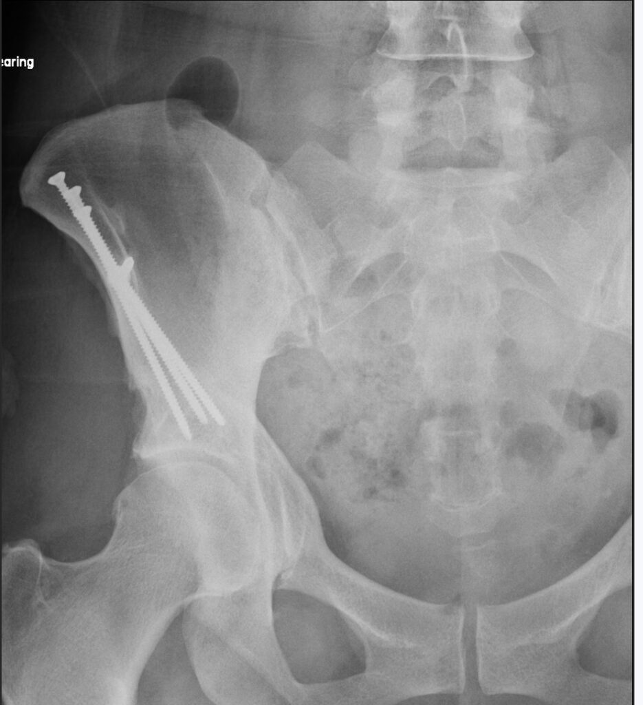
During the procedure the pelvis is cut in multiple places, the hip socket is repositioned and screws are used to secure it.
The goal is to improve coverage of the femoral head and preserve your natural hip joint.
Why would someone need a PAO?
A PAO is typically recommended for adolescents and young adults with hip dysplasia or adults (30’s-40’s) who still have healthy cartilage. Many people don’t even know they have hip dysplasia until pain begins.
If you want to learn more about hip dyslasia, I recommend the International Hip Dysplasia Institute.
What is Recovery Like?

This is where things differ a lot.
- Hospital stay: 2–5 days
- First 6 weeks: mostly resting + very limited weight bearing (20–30 lbs max)
- Around 6-8 weeks: begin weight bearing + start physical therapy
- 8–12 weeks: transition off crutches
- 6 months: may be cleared to slowly return to high impact activities, like running
- Full recovery: ~1 year
The early phase is especially intense—physically and mentally.
Unlike a hip replacement a successful PAO typically has no movement restrictions long-term.
The Key Differences
Here’s a simple breakdown:
- PAO preserves your natural hip vs Hip replacement replaces it with a prosthetic
- PAO recovery is longer and typically more intense
- PAO = hip dysplasia-specific vs Hip replacement = many different conditions
- PAO = younger patients with healthy cartilage vs Hip replacement = typically older patients or advanced arthritis
- PAO has no long-term movement restrictions vs Hip replacements often do
Which is right for you?
The fact that you have to consider either is really a bummer, so let me just say that! Neither option is an ideal situation and my heart goes out to everyone who has to pick between the two!
With that said:
If you are younger (roughly teens–40s), active, and still have healthy cartilage — then a PAO may be an option, but requires preparing for a long and demanding recovery.
If you have advanced arthritis then a hip replacement is usually the best (and sometimes only) option.
For younger patients, doctors may recommend delaying replacement—but ultimately, it becomes the solution when pain and joint damage are severe.
On the Fence
This is one of the hardest places to be. You might hear: ” PAO might work… or might not”. or “You could wait…or move forward now”.
There’s no perfect answer.
Some people choose a PAO to try to preserve their natural hip. Others wait as long as possible for a replacement. And some choose a replacement early to get their life back.
There’s no one-size-fits-all decision.
One resource that helped me personally was the Periacetabular Osteotomy Facebook group. It gave real-life insight into both paths.
If you’re going through this decision, feel free to reach out—I truly mean that.
You can comment below, email me at emilyislivingwell@gmail.com, or message me on social @emilylivingwell.
I’ve also put together an FAQ page that may help answer some of your questions.
Either way, if you’re going through this right now, you’re not alone.
I’ve been in your shoes, and I’m always here if you need support, resources, or just someone who understands.